Crowns and Bridges

What is a crown?

A crown, (sometimes known as a ‘cap’) can be used to restore damaged or weakened teeth, or it can be used to reshape teeth for cosmetic reasons. Crowns can be made using gold alloys, porcelain, ceramics, or a combination of materials. The current generation of Zirconia ceramics or pressable glass crowns can give a very natural appearance. We can help you decide which type of crown is best for you.

The tooth has to be prepared and shaped so that the crown will fit over it and look as it should. This may sometimes involve root-treating the tooth and be strengthening the root with a post inside it. Impressions are taken using a soft, mouldable material which is used to make a model of the tooth for the Dental Technician, who then makes a crown to fit. At the preparation visit, a temporary crown is made so that you don’t have a gap while the permanent one is made.

How long does it take?

It normally takes about 1 hour to prepare the tooth and take impressions. The impressions are sent to the lab and sent back to us within 10 days. We then need to see you again to fit the crown, after any adjustments that may be required. This takes about 30 minutes.

A crown will usually last for many years if you look after it well.

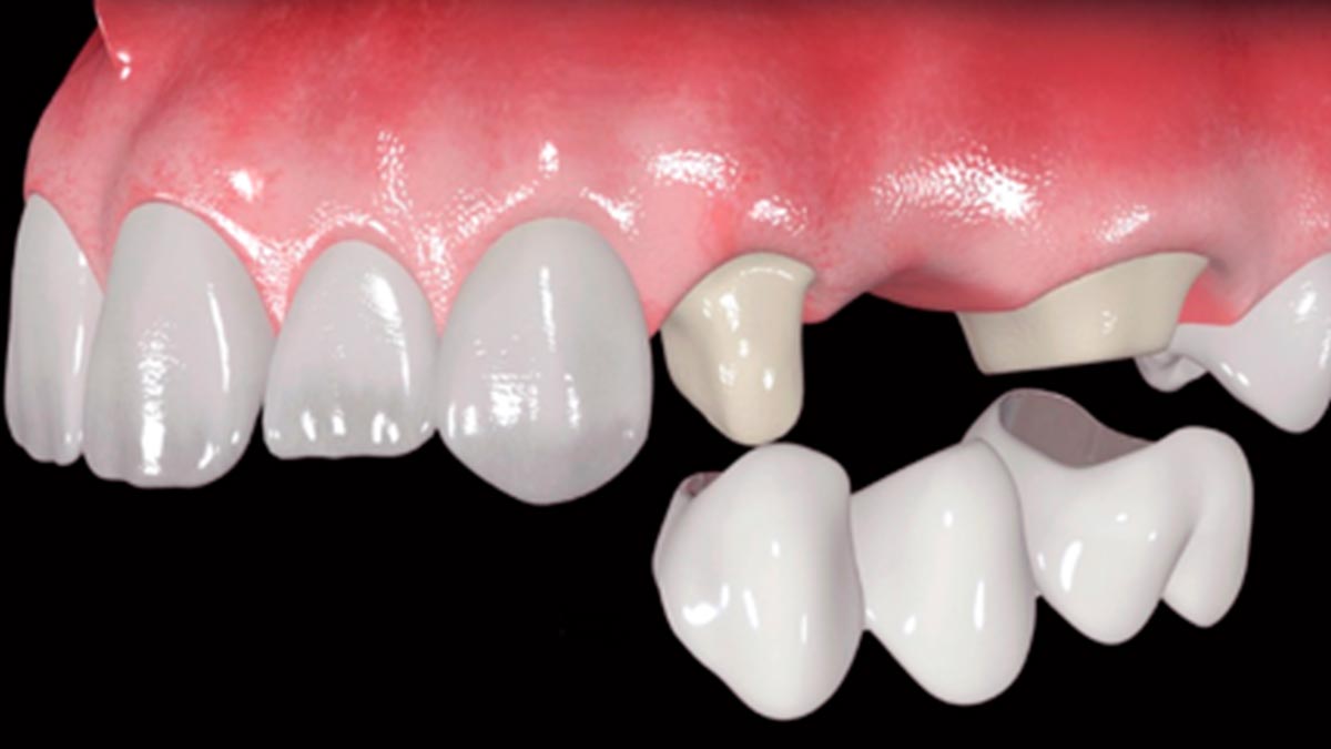
What is a bridge?

A bridge is a way of replacing missing teeth without using a denture. The missing tooth is replaced by a false one that is fixed to one or more of the neighbouring teeth. The bridge is either held in by crowns which fit over the neighbouring teeth or by small metal wings which are glued to the back of other teeth.

If looked after properly, a bridge normally lasts for many years. It should look and feel like there is no missing tooth.

Easy, Quick, and Hassle-Free

Take the First Step Toward a Healthier Smile

Don’t wait to give your smile the care it deserves. Schedule your appointment today and let our friendly team look after your dental health with comfort and confidence.

Smooth, Stress-Free Scheduling

Book Your Appointment

Fill in your details below and our team will contact you to confirm your appointment. We look forward to helping you achieve a healthy, confident smile.